A Leucemia Promielocítica Aguda (LPA) é um tipo característico de leucemia mieloide aguda, tambbém chamada de LMA M3., baseada na classificação anterior da FAB.

Epidemiologia
A LPA pode corresponder até cerca de 20% de todos os casos de LMA. É incomum em crianças até 10 anos de idade, passando a elevar-se em incidência a partir da segunda década de vida tornando-se constante durante a fase adulta. Há redução do número de casos a partir dos 60 anos de idade. Não á diferença entre os sexos.
No Brasil não há dados oficiais e estudos apontam estimativas que a LPA correspondem a 28,2% das LMA. (Bassi, SC; Rego EM)
Características Clínicas
Os portadores de LMA M3 possuem as menifestações clínicas princiaplemte devido aos sinais de falência medular, ou seja, oriundo da redução de contagem de plaquetas, da anemia e da neutropenia. Assim pode ocorrer fraqueza, tonturas por causa da anemia. Eleva-se o risco infeccioso devido a redução da contagem de neutrófilos e a trombocitopenia eleva o risco de sangramento.
Veja mais sobre Neutropenia Febril
O sangramento na LPA é de grande importância, pois é um dos motivos da elevada mortalidade nas fases mais precoces da doença. Isso ainda permanece uma preocupação aqui no Brasil, conforme mostra esse artigo. As causas do sangramento nesse tipo de leucemia são complexas e não é somente oriunda da redução de plaquetas. Envolve a hiperfibrinólise e coagulação intravascular disseminada (CIVD). A introdução precoce de ácido all-trans retinoico (ATRA) a fim de induzir a diferenciação das células leucêmicas e a efetiva instituição de terapia de suporte leva a melhora do sangramento.
Diagnóstico
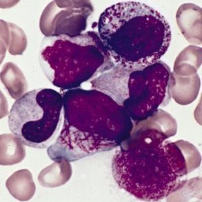
O diagnóstico da LMA M3 não costuma ser difícil. Geralmente há grande suspeição clínica quando o paciente apresenta hemograma alterado associado a sangramento e / ou alteração significativa das provas de coagulação. A presença de blastos com características de promielócitos sugere o diagnóstico que deve ser confirmado por meio de exames de imunofenotipagem e genéticos-moleculares.
Exames em hematologia
A presença da translocação t(15;17)(q24.1;q21.2);PML-RARA é confirmatória da LPA. Há outros tipos de translocações também descritas, o que inclusive possui implicações terapêuticas, mas essas são incomuns.

Emergência Médica
A LPA pode ser considerada uma emergência médica, haja vista que o rápido quadro clínico com manifestações hemorrágicas potencialmente graves podem levar a morte em questão de horas. Assim a elevada taxa de mortalidade precoce é oriunda dos sangramentos e isso faz que mesmo sem a confirmação diagnóstica de LPA o tratamento deve ser instituído com a suspeita clínica de se tratar dessa enfermidade hematológica.
Tratamento
O tratamento deve ser instituído o mais breve possível, às vezes antes mesmo da confirmação diagnóstica. Durante a avaliação que leva o diagnóstico o paciente é submetido ao que denominamos de estratificação de risco, ou seja, se ele é considerado baixo risco, risco intermediário ou elevado. A partir dessa verificação o hematologista realiza a programação terapêutica que determinará como será a programação terapêutica no longo prazo, ou seja, com mais ou menos quimioterapia. O transplante de células progenitoras não é uma conduta comum nesse tipo de leucemia, sendo reservado para situações bastante específicas, a ausência de resposta com o tratamento de primeira linha é uma delas.
Medicações como o trióxido de arsênio e ácido all-trans retinoico troxeram um salto na resposta ao tratamento da LMA M3, permitindo, dessa forma, elevadas taxas de remissão e cura.