O Junho Laranja é uma campanha essencial para conscientizar a população sobre a anemia e a leucemia, duas condições hematológicas que afetam milhões de pessoas no Brasil e no mundo. No centro do diagnóstico precoce dessas doenças está o hemograma, um exame laboratorial simples, acessível e indispensável. Neste artigo, exploraremos como o hemograma funciona, sua relevância na identificação de alterações sanguíneas e como ele se conecta ao Junho Laranja.
O que é o Hemograma?
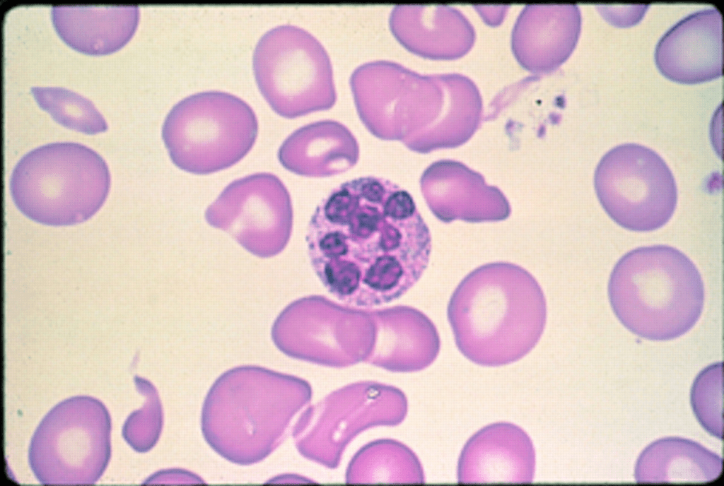
O hemograma é um exame de sangue que avalia os três principais componentes celulares do sangue: eritrócitos(hemácias), leucócitos (glóbulos brancos) e plaquetas. Ele fornece uma visão geral da saúde hematológica, permitindo a detecção de condições como anemia, infecções, distúrbios de coagulação e leucemias.

Componentes do Hemograma
- Eritrócitos (Hemácias): Transportam oxigênio. Alterações, como baixa contagem, podem indicar anemia.
- Leucócitos: Combatem infecções. Aumentos ou reduções podem sugerir leucemia ou infecções.
- Plaquetas: Essenciais para a coagulação. Alterações podem indicar risco de sangramentos ou trombose.
Junho Laranja: Foco em Anemia e Leucemia
O Junho Laranja destaca a importância da conscientização sobre anemia e leucemia, condições que podem ser identificadas ou monitoradas pelo hemograma. A anemia, caracterizada pela redução de hemácias ou hemoglobina, afeta cerca de 30% da população mundial, segundo a Organização Mundial da Saúde (OMS). Já a leucemia, um tipo de câncer do sangue, requer diagnóstico precoce para melhorar as chances de tratamento.

Anemia no Foco
A anemia pode ser causada por deficiências nutricionais (ex.: ferro, vitamina B12), doenças crônicas ou perdas sanguíneas. O hemograma revela:
- Hemoglobina baixa: Indica anemia.
- VCM (Volume Corpuscular Médio): Ajuda a classificar a anemia (microcítica, normocítica ou macrocítica).
- RDW elevado: Sugere variabilidade no tamanho das hemácias, comum em anemias.
Leucemia e o Papel do Hemograma
Na leucemia, o hemograma pode mostrar:
- Leucocitose ou leucopenia: Contagem anormal de leucócitos.
- Presença de blastos: Células imaturas, um sinal de alerta para leucemia.
- Anemia ou trombocitopenia: Frequentemente associadas a leucemias agudas.

Por que o Hemograma é Indispensável?
O hemograma é uma ferramenta de triagem poderosa porque:
- Acessibilidade: Disponível em laboratórios de rotina.
- Rapidez: Resultados em poucas horas.
- Precisão: Detecta alterações sutis que podem passar despercebidas clinicamente.
No contexto do Junho Laranja, incentivar a realização de hemogramas regulares pode salvar vidas, especialmente em populações de risco, como crianças, idosos e pacientes com histórico familiar de doenças hematológicas ou com sinais e sintomas clínicos que podem ser considerados de alerta.
Como Interpretar o Hemograma?
A interpretação do hemograma requer conhecimento técnico, mas alguns pontos são fundamentais:
- Valores de Referência: Variam por idade, sexo e laboratório (ex.: hemoglobina 12–15,5 g/dL para mulheres; 13,5–17,5 g/dL para homens).
- Alterações Contextuais: Uma leucocitose com neutrofilia pode indicar infecção bacteriana, enquanto linfocitose pode sugerir infecção viral ou leucemia linfocítica.
- Correlação Clínica: O hemograma deve ser interpretado junto aos sintomas e histórico do paciente.
Tabela de Valores Normais do Hemograma
| Parâmetro | Valores Normais (Homens) | Valores Normais (Mulheres) |
|---|---|---|
| Hemácias | 4,5–5,9 milhões/µL | 4,0–5,2 milhões/µL |
| Hemoglobina | 13,5–17,5 g/dL | 12,0–15,5 g/dL |
| Hematócrito | 41–50% | 36–46% |
| VCM (Volume Corpuscular Médio) | 80–100 fL | 80–100 fL |
| Leucócitos | 4.000–11.000/µL | 4.000–11.000/µL |
| Neutrófilos | 40–75% | 40–75% |
| Linfócitos | 20–45% | 20–45% |
| Plaquetas | 150.000–450.000/µL | 150.000–450.000/µL |
Junho Laranja: Um Chamado à Ação
O Junho Laranja nos lembra que a prevenção e o diagnóstico precoce são essenciais. Realizar um hemograma regularmente pode identificar problemas antes que se tornem graves. Converse com seu médico e inclua o hemograma em seu check-up anual!

Tags:
#Hemograma #JunhoLaranja #Anemia #Leucemia #Hematologia #Saúde #ExameDeSangue #Diagnóstico